Skip to content

Eatontown

Dental Care

Book Appointment
  • Home
  • About Us
  • Services
  • Payment Plans
  • Before & After Photos
  • Testimonials
  • Patient Forms
  • Contact
  • Book Appointment
×
  • Home
  • About Us
  • Services
  • Payment Plans
  • Before & After Photos
  • Testimonials
  • Patient Forms
  • Contact
  • Book Appointment

Optimizing Quality Treatments for Every Patient

All images © Eatontown Dental Care

A before and after picture of a woman with short hair.
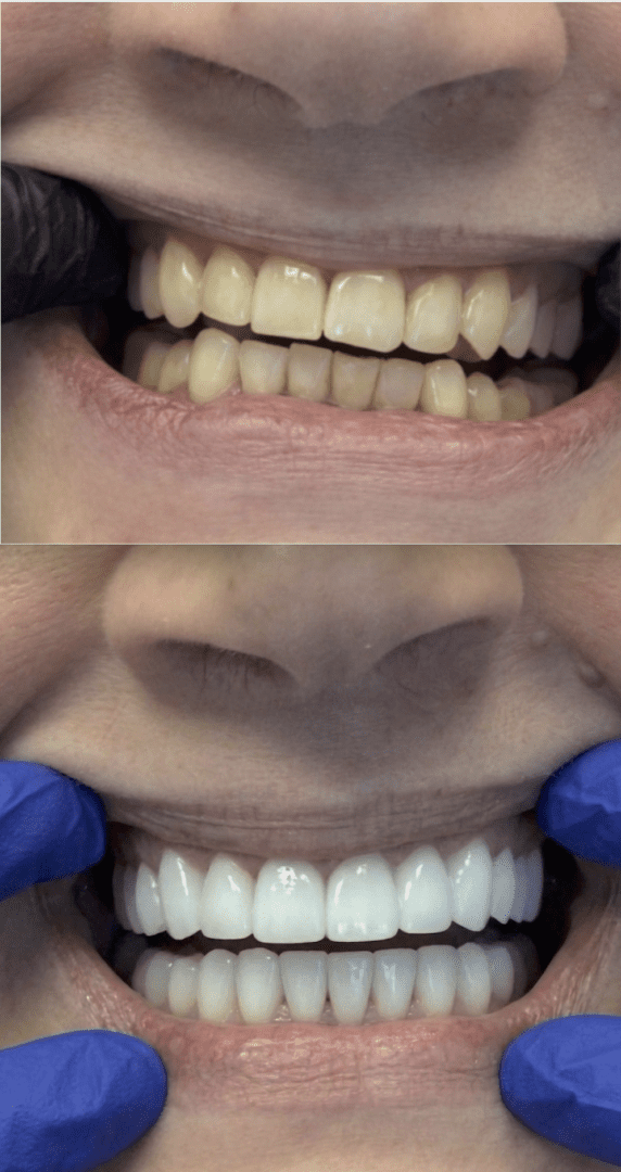
A before and after picture of the teeth whitening process.
A before and after picture of the teeth whitening process.
A before and after picture of teeth with missing tooth.
Two photos of a person with blue gloves on.
A before and after picture of the teeth being cleaned.
A woman with blue gloves on and one of her teeth being cleaned.
A before and after picture of teeth whitening.
A before and after picture of the teeth whitening process.
A before and after picture of the teeth whitening process.
A man with beard and mustache smiling at the same time
A before and after picture of teeth whitening
A before and after picture of teeth with missing front tooth.
A woman 's smile before and after invisalign.
A woman with two different teeth and one is smiling.
A woman with two different teeth brushing her smile.
A before and after picture of the teeth whitening process.
A close up of the bottom half of someone 's foot.
A woman with white gloves on and one of them is holding her mouth open.
A woman with blue gloves on and one of her teeth being cleaned.
A woman with a tooth brush in her mouth.
A woman with white gloves on and one of them is holding her mouth open.
A woman with a blood trail on her lower lip.
A woman with a plastic bag over her face.
A man with blue gloves on his face and teeth.
A woman with and without teeth smiling.
A woman with an electric toothbrush and teeth whitening.
A man with white teeth and two different smiles.
A man with a tooth brush in his mouth.
A woman with white teeth and brown lips.
A man with missing teeth and before and after dental treatment.
A man with blue teeth and two other men
A close up of two people 's teeth with the word invisalign underneath them.
A before and after picture of teeth with in-office bonding.
A person with blue gloves on their hands and teeth.
A before and after photo of someone 's teeth.
https://eatontowndentalcare.com/wp-content/uploads/2024/10/4a052d89-d174-4f9b-803c-8bfd80e4b9d8.mp4
https://eatontowndentalcare.com/wp-content/uploads/2024/10/3a64a433-7fbe-454b-9c42-05d6da165196.mp4
https://eatontowndentalcare.com/wp-content/uploads/2025/05/Ortho-Video.mp4
https://eatontowndentalcare.com/wp-content/uploads/2025/10/VIDEO-2025-10-03-12-46-50.mp4
https://eatontowndentalcare.com/wp-content/uploads/2024/10/40a97223-fb89-4378-a8c9-c582150032ab.mp4
https://eatontowndentalcare.com/wp-content/uploads/2025/06/bridge-video.mp4
  • Order Provigil Online: A Comprehensive Overview Of Its Impact On Sleep Disorders
  • Bactrim Online: Understanding Its Role In Modern Medicine
  • Priligy 60 Mg: A Comprehensive Overview Of Its Clinical Significance
  • Get Augmentin Online: Insights From The Latest Medical Conference
  • Glucophage Where To Buy: Understanding Its Role In Diabetes Management
  • Buy Zithromax Online: Understanding Its Role In Modern Medicine
  • Cipro Over The Counter: Understanding Its Role And Accessibility
  • Prednisone Over The Counter: Understanding Its Role And Availability
  • Otc Flagyl: Exploring The Therapeutic Potential And Challenges
  • Order Diflucan: Understanding Its Role In Treating Fungal Infections
  • Prednisolone 100 Mg: Understanding Its Role In Modern Medicine
  • Lasix Over The Counter: Understanding Its Role In Diuretic Therapy
  • Order Augmentin: Understanding Its Role In Treating Infections
  • Prednisolone Online: Understanding Its Role In Modern Medicine
  • Get Bactrim Online: Understanding Its Impact On Bacterial Infections
  • Exploring the Mechanism of Priligy
  • Exploring the Role of Diflucan in Treating Colostomy-Related Yeast Infections
  • Bactrim’s Role in Oncology: Key Parameters for Treatment Initiation
  • Doxycycline: Addressing Global Health Challenges
  • The Impact of Stromectol in Modern Medicine
  • Exploring the Impact of Amoxil on Birth Control Efficacy
  • Exploring Bactrim’s Role in Treating Prostatitis
  • Critical Insights on Lasix Use: Timing is Key
  • The Role of Glucophage in Managing Diabetes
  • Exploring the Benefits of Cialis Super Active
  • Insights on Stromectol and Its Impact on Parasitic Infections
  • Cialis: A Comprehensive Look at Its Variants and Their Differences
  • Exploring Antabuse: Key Insights and Recovery Guidelines
  • Exploring the Efficacy of Diflucan in Treating Fungal Infections
  • The Impact of Amoxil on Sleepiness: A Conference Report

Eatontown Dental Care

Dr. Maher Hanna

Dr. Ellen Noumi 

  • (732) 460-9000
  • Mon 9-5 |Tues 9-5 | Wed 9-5 | Thurs 9-5 | Fri 9-3 | Sat by Appt
    | Sun closed
  • (732) 460-9001
  • info@eatontowndentalcare.com
  • 142 Rt 35, Suite 105,
    Eatontown, NJ 07724
  • Home
  • About Us
  • Services
  • Payment Plans
  • Before & After Photos
  • Testimonials
  • Patient Forms
  • Contact
  • Book Appointment

Eatontown Dental Care

Dr. Maher Hanna

Dr. Ellen Noumi

  • (732) 460-9000
  • Mon 9-5 |Tues 9-5 | Wed 9-5 | Thurs 9-5 | Fri 9-3 | Sat by Appt | Sun closed
  • (732) 460-9001
  • info@eatontowndentalcare.com
  • 142 Rt 35, Suite 105,
    Eatontown, NJ 07724
  • Home
  • About Us
  • Services
  • Payment Plans
  • Before & After Photos
  • Testimonials
  • Patient Forms
  • Contact
  • Book Appointment

© 2026 Eatontown Dental Care

GoDaddy Web Design
Scroll To Top